RTFaSt
technology that shifts paradigm in pathology
Medinvent LLC, Southampton, Pennsylvania, USA
Mission: MedInvent is committed to innovating and advancing the science, economic and health care benefits of rapid tissue fixation and staining for patients, providers and laboratories.


Revolutionary frozen immunohistochemistry
Our patented solutions and steps may significantly shorten the time it takes to fixate human tissue for staining.
• Suitable for both fresh and frozen sections
• Our patended solutions and steps do not require new safety features, storage, or learning curves
• Can be used in manual or automatic tissue processing
• Compatible with existing tissue processing equipment
• “Results While You Wait” option for patients
Rapid Tissue Fixation and Staining
RTFaSt patented process and solutions can significantly decrease tissue fixation processing times

Routine processing. Kidney H&E x 200
Total processing time = 19 hours

RTFaSt processing. Kidney H&E x 200
Total processing time = less than 3 hours

Routine processing. Colon, Alcian Blue x 200

RTFaSt processing. Colon, Alcian Blue x 200

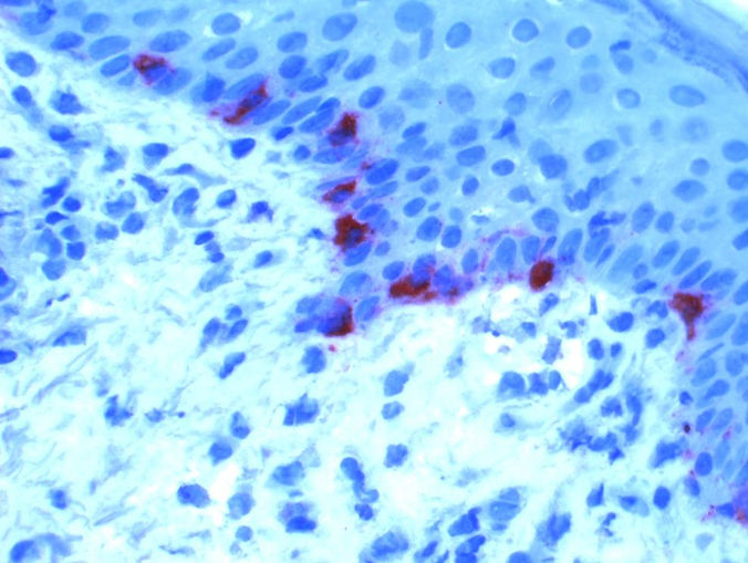
Routine processing.
Colon, Immunohistochemistry (IHC)CDX2 , x 200

RTFaSt processing.
Colon, Immunohistochemistry (IHC)CDX2 , x 200
Consider the benefits to your laboratory, staff, patients and providers that faster processing times can deliver
Faster
results help the laboratory to run more efficiently, thereby saving money.
Faster
results help the clinician treat the patient more quickly, thereby
increasing patient care quality and satisfaction.
For over 100 years until now
formalin has been used in the fixation of tissues for pathology
Tissue processing
reagents
are used in sequence to dehydrate the tissues and subsequently infiltrate the tissues with molten paraffin
Pathology diagnoses
are made by reviewing these stained microscope slides
Current procedures
for tissue fixation and processing take many hours
Paraffin blocks
​containing the solidified tissue are sliced thinly to create sections mounted on glass slides for subsequent staining with Hematoxylin and eosin (H&E), special, IHC and molecular stains.
Tissue processing
has not changed in more than
a century…until now. RTFaSt processing can cut total processing time significantly
Shortening this time
can increase both laboratory efficiency and patient care quality.